機能と調和、長期安定性を追求する審美治療

いばた歯科が考える「本当の審美治療」
- 「口元にある銀歯を白く美しい歯にしたい」
- 「欠けてしまった前歯を元通りきれいに治したい」
審美歯科治療を希望される方のきっかけは様々です。
その願いの奥には「もっと自信を持って笑いたい」「人と気兼ねなく話したい」「食事を心から楽しみたい」という、より豊かな人生への渇望が込められているのではないでしょうか。
しかし、私が考える「審美治療」とは単に歯を白くしたり形を整えたりするだけの、表面的な美しさを取り繕う作業ではありません。
それはまるで精巧な建築物のように、次の3つの要素という決して揺らぐことのない強固な土台の上に築かれて初めて、真の価値を持つものです。
- 機能性(噛み合わせ)
- 生体親和性(身体との調和)
- 長期安定性(長持ちすること)
デジタル歯科の先駆者として私が確信していること
私は日本の歯科医療にコンピューターを用いたセラミック治療(CAD/CAM)が導入された当初から、その無限の可能性を信じ技術の研鑽と普及に情熱を注いできました。
2006年にCERECシステムを導入し、日本臨床歯科CAD/CAM学会(JSCAD)の設立メンバーの一人としてこの分野の発展に深く関わってきたという自負があります。
長年この技術の進化の最前線に身を置いてきたからこそ、見えてきたことがあります。
それはデジタル技術がもたらす本当の価値は、単なる「速さ」や「精密さ」だけではないということです。
それはこれまで「経験」や「勘」に頼らざるを得なかった治療を「科学的根拠」に基づいた「予測可能」なものへと変革させ、審美性と機能性をかつてない高いレベルで両立させる力を持つということです。
審美治療における長期的視点
見た目だけを優先し土台となる歯の健康や、お口全体の噛み合わせを無視した治療はいずれ破綻します。
数年でセラミックが割れたり、不適合な被せ物の隙間から再び虫歯になったり、全体の噛み合わせを崩してしまったり。
そのような悲劇を私はこれまで数多く目の当たりにしてきました。
当院が目指すのはそのような一過性の美しさではありません。
治療した歯がまるで初めからそこにあったご自身の歯のように、お顔とそして人生と調和し10年後、20年後も変わらぬ輝きを放ち続けること。
時を超えて価値を失わない「機能美」を創造し、患者様の生涯にわたる健康と自信を支えること。
それこそが私たちの審美治療における唯一無二の目標であり、哲学なのです。
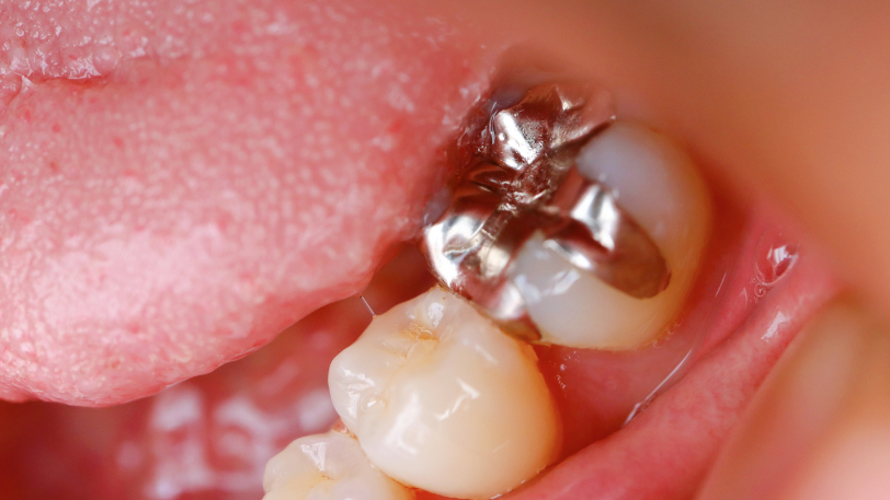
なぜ当院は「メタルフリー(非金属)」にこだわるのか

当院の審美治療は「メタルフリー治療」がその大前提にあります。
虫歯治療などで歯を修復する際に保険診療で一般的に用いられる金属の詰め物・被せ物、いわゆる「銀歯」を当院では一切使用しておりません。
これは単に「見た目」の問題だけではありません。
歯科医師として患者様の長期的な健康を考えた時、看過できない多くの「医学的リスク」が歯科用金属には存在するためです。
リスク1:二次的な虫歯(再発)の温床となる「汚れやすさ」
金属はその性質上イオン化しやすく、目に見えないレベルで表面に微細な傷がつきやすいため陶器であるセラミックと比較して、細菌の巣であるプラーク(歯垢)が非常に付着しやすいという大きな欠点があります。
銀歯の周りにプラークが溜まり続けることは、歯ぐきの炎症を引き起こす「歯周病」を誘発・悪化させる大きな原因となります。
リスク2:歯の縁を欠けさせる「硬すぎる」という性質
天然の歯は適度な「しなやかさ」を持っています。
しかし、金属特に銀歯はそのしなやかさを欠き、天然の歯よりも「硬すぎる」という性質を持ちます。
噛む力がかかった際、硬い金属とそれよりもしなやかな歯質がぶつかり合うと弱い歯質の方が先に負けてしまいます。
マイクロスコープで銀歯の縁を拡大するとほとんどの症例で、歯の縁がわずかに欠けている「チッピング」が確認できます。
この微細な欠け目やヒビこそが虫歯菌が再び歯の内部に侵入していく、格好の入り口となるのです。
リスク3:セメントの溶解による「隙間」からの再感染
銀歯は「合着」という方法でセメントを用いて歯に取り付けられています。
このセメントは唾液によって長い時間をかけて、ごくわずかずつですが確実に溶け出していきます(溶解)。
その結果、歯と金属の間に「隙間」が生じます。
銀歯は簡単には外れないため患者様ご自身が気づかないうちに、その隙間から虫歯菌が侵入し銀歯の下で静かにそして広範囲に虫歯が進行してしまうのです。
「痛みが出た」「銀歯が外れた」といった自覚症状が出た時にはすでに虫歯が神経の近くまで達しているケースが後を絶ちません。
一方、セラミックはセメントではなく強力な「接着剤」で歯と一体化させるためこのような溶解による隙間はほとんど生じません。
リスク4:全身に影響を及ぼす「金属アレルギー」
お口の中という過酷な環境で歯科用金属はごく微量ながら、常にイオン化し唾液中に溶け出しています。
溶け出した金属イオンが体内に取り込まれ身体のタンパク質と結合すると、それを異物と認識した免疫系が過剰に反応することがあります。
これこそが「金属アレルギー」です。
お口の中の粘膜が荒れるだけでなく、手のひらや足の裏に原因不明の湿疹(掌蹠膿疱症)が現れるなど全身に影響を及ぼすことも少なくありません。
セラミックは生体に対して非常に安定した材料であり、溶け出してアレルギーの原因となる心配は一切ありません。
リスク5:歯を内側から破壊する「楔(くさび)効果」

これは特に神経を抜いた歯に用いられる「金属製の土台(メタルコア)」において、もっとも深刻なリスクです。
天然の歯が持つ「たわみ」に硬い金属の土台は一切追従できません。
その結果、噛む力がかかるたびに金属の土台がまるで薪を割る「楔(くさび)」のように作用し、歯の根を内側から「バキッ」と縦に割ってしまう「歯根破折」を引き起こすのです。
こうして割れてしまった歯は多くの場合、当院が誇る「破折歯接着治療」をもってしても保存が困難となり「抜歯」という取り返しのつかない運命を辿ります。
これらの理由から私たちは患者様の未来の健康と幸福を真に願うからこそ、「メタルフリー治療」に完全に移行するという決断をいたしました。
当院の審美治療を支える「5つの柱」
当院の審美治療は歯科医師の感性や経験だけに頼るものではありません。
科学的根拠に基づいた5つの確固たる柱によって支えられています。
柱1:天然歯と見紛うほどの「自然美の追求」

私たちが目指すのはただ白いだけの、作り物めいた歯ではありません。その人が本来持っている天然の歯が持つ、複雑で繊細で生命感あふれる美しさをいかに忠実に再現するか。
その一点に私たちの情熱と技術は注がれます。
再現する要素
- 透明感(トランスペアレンシー)の再現
- 色の濃淡(グラデーション)の表現
- 歯の先端の模様(マメロン構造など)の再現
これらを後述する精密な「色合わせ」の技術によって、セラミックの上で忠実に再現します。
柱2:顔貌と調和する「オーダーメイドの治療計画」

美しい歯とはお口の中だけで完結するものではありません。
その人の顔の輪郭、唇の形や動き、そして何よりも笑った時の表情(スマイルライン)と調和して初めて、その美しさは輝きを放ちます。
当院では治療を始める前に患者様の笑顔の写真を撮影し、コンピューター上で理想的な歯の形や長さをシミュレーションする「デジタルスマイルデザイン(DSD)」という手法を取り入れ、完成形のイメージを明確に共有します。
柱3:すべての工程で「デジタル技術」


当院の審美治療はそのすべての工程が、先進のデジタル技術によって支えられています。
デジタル技術の要素
- 光学印象(口腔内スキャナー)
- マイクロスコープ(歯科用顕微鏡)
- デジタルデザイン(CAD)
- 高精度加工(CAM)
- 高性能なセラミック材料
この一気通貫のデジタルワークフローが治療の精度と効率を、かつてないレベルにまで高めました。
柱4:歯の命を尊ぶ「最小限の侵襲(MI)」

歯を削るという行為は歯の寿命を縮めることと、ほぼ同義です。美しさを求めるあまり健康な歯を過剰に削ってしまうことは、絶対にあってはならないことです。
私たちは「MI(ミニマル・インターベンション)」、すなわち「最小限の侵襲」という概念を治療の原則としています。
後述するマイクロスコープを用いることで虫歯に侵された部分だけを正確に取り除き、健康な歯質特に「エナメル質」を1ミクロンでも多く残す。
そのための最大限の努力を私たちは惜しみません。
柱5:心に寄り添う「快適さと安心感の確保」
どれほど優れた治療であっても患者様が不安な気持ちのままでは、最高の治療とは言えません。
当院では麻酔時の痛みを和らげるための様々な工夫や、個室診療室によるプライバシーの確保はもちろんのこと現在の状況、考えられる選択肢、それぞれの治療の工程や費用について患者様が完全に納得できるまで、丁寧に説明する時間を大切にしています。
美しさの礎は「精密な土台」
マイクロスコープ精密形成

セラミック治療の成功、そしてその長期的な安定(長持ちすること)は実は、セラミックそのものの品質以上に「歯の削り方(形成)」、すなわち被せ物を装着するための「土台作り」でそのほとんどが決まると言っても過言ではありません。
被せ物と土台となる歯との間にもし、ほんのわずかでも段差や隙間があればそこに細菌が繁殖し、二次的な虫歯や歯周病の原因となります。
しかし、肉眼でこのミクロン単位の精度が求められる形成を完璧に行うことは人間の能力の限界を超えています。
そこで当院では審美治療における歯の形成もすべて、カールツァイス(Carl Zeiss)社製をはじめとする高性能マイクロスコープの拡大視野の下で行います。
(詳細は「マイクロスコープ治療」のページもご参照ください)
マイクロスコープで実現できること
境界線(マージン)の精密化
被せ物と歯の境界線を段差のない、一本の滑らかな線として仕上げることができます。これによりプラークの付着を防ぎ、二次的な虫歯や歯肉の炎症のリスクを劇的に低減させます。
削る量の最小化(MI)
健康な部分と削るべき部分とを明確に見分けられるため、歯質を無駄に削りすぎることがありません。歯の強度を最大限に温存し、歯の寿命を守ることに繋がります。
歯肉への配慮
歯を削る器具が周囲のデリケートな歯肉を傷つけるのを防ぎます。健康で美しい歯肉があってこそ、セラミックの美しさは引き立ちます。
この目には見えない部分への徹底したこだわりこそが、10年、20年先も変わらない確かな美しさと健康を支える、もっとも重要な礎となるのです。
「色」を科学的に捉える
シェードテイキング
審美治療においてもう一つ、極めて重要で難しいのが「色合わせ(シェードテイキング)」です。天然の歯の色は単一の「白」ではありません。
天然歯の色の特徴
- 根元から先端にかけてのわずかな「色の濃淡(グラデーション)」
- 光をわずかに透過させる「透明感」
- 歯の先端に見られる花びらのような模様「マメロン構造」
これらの複雑な「色の情報」をいかに正確に把握し、歯科技工士へと伝達するか。
それが完成するセラミックの自然さを左右します。当院では術者の「感覚」だけに頼る色合わせは行いません。デジタルとアナログの技術を組み合わせて、色という情報を科学的に捉えます。
当院の色合わせプロセス
1. デジタル色測定(VITA Easyshade Advance)
高性能なデジタル測色器を用い、治療する歯と隣の歯の色を客観的な「数値データ」として測定します。
2. シェードガイド(3Dマスター)による視覚的確認
術者の熟練した「眼」で数十種類の色見本(シェードガイド)と歯を照らし合わせ、数値では表しきれない微妙な色合いを確認します。
3. クロス・ポーラライズド撮影
特殊なフィルターを用い、歯の表面の光の「反射」だけを取り除いた特殊な写真を撮影します。
これにより歯の内部にある象牙質が持つ「本来の色調」や「内部構造」を可視化することができます。
4. シェードマッピングとデジタルデータ統合
これらのすべての情報を統合し「歯のどの部分がどのような色で、どのような透明感を持つか」という詳細な「色の設計図(シェードマッピング)」を作成します。
この設計図を口腔内スキャナーで取得した3Dの形態データと共に、歯科技工士へと伝達します。
この徹底した「情報伝達」こそが天然歯と見紛うほどの、自然なセラミックを生み出すのです。
時間の概念を変える「デジタルワークフロー」
当院の審美治療は先進のデジタル機器群によって支えられています。
苦痛のない「型取り」口腔内スキャナー(IOS)
当院では「3Shape TRIOS」や「Dentsply Sirona Primescan」といった世界最高水準の口腔内スキャナーを導入しています。
(詳細は「設備紹介 – 口腔内スキャナー」をご参照ください)
粘土のような不快な印象材をお口に入れる従来の「型取り」は必要ありません。先端の小型カメラでお口の中をなぞるだけで快適にかつ、ミクロン単位の精密な3Dデータを取得できます。
口腔内スキャナーのメリット
- マージンライン(歯と被せ物の境界)の明瞭な把握
- 補綴物設計の予測性の向上
- 歯科技工士とのスムーズな連携
- 治療期間の短縮
時間の価値を生む「即日修復治療」CERECシステム

当院はドイツ・シロナ社の「CEREC(セレック)システム」を2005年という早期から導入し、豊富な実績を積み重ねてきました。
(詳細は「即日セレック治療」のページもご参照ください)
これは「スキャン(光学印象)」「設計(CAD)」「加工(CAM)」「装着」というセラミック修復物製作の全工程を院内で完結させる先進のシステムです。
これにより症例によっては朝にご来院いただき、その日のうちに最終的なセラミックの歯を装着してご帰宅いただくという「ワンデイトリートメント(即日修復治療)」が可能になります。
即日修復が適している方
- 仕事などで忙しく、何度も通院することが難しい方
- 海外への出張や一時帰国中に治療を完了したい方
- 結婚式や大切な予定を控えており、すぐに見た目をきれいにしたい方
- 「仮歯」で過ごす不快な期間をなくしたい方
この「即日修復」は単に便利なだけではありません。
歯を削った新鮮な面にその日のうちに精密なセラミックを完全に封鎖(接着)することで、細菌が侵入するリスクを最小限に抑え歯の長期的な予後を向上させるという、極めて重要な医学的な意味を持つのです。
材料を知り最適を選ぶ【当院のセラミック材料】
当院ではこれらのデジタル技術(CAD/CAM)によって加工される高性能なセラミック材料を、症例に応じて厳密に使い分けています。
| 材料名 | 主成分・特徴 | 最大の強み | 適した部位 |
ガラスセラミック(e.max CADなど)![]() | ニケイ酸リチウムガラスを主成分とするセラミック | 天然の歯が持つ光を透過するような「透明感」と美しい質感をもっとも忠実に再現できる | 人目に触れる機会の多い「前歯」や、比較的小さな「詰め物(インレー)」 |
ジルコニア(フルジルコニア、レイヤードジルコニア)![]() | 「人工ダイヤモンド」とも呼ばれる二酸化ジルコニウムを主成分 | 圧倒的な「強度」 | 強い力がかかる「奥歯の被せ物」や、複数歯にまたがる「ブリッジ」 |
VITA ENAMIC(ハイブリッドセラミック)![]() | セラミックの粒子と高分子ポリマー(樹脂)を特殊な技術で高密度に複合 | 天然の歯(象牙質)に極めて近い「しなる」性質を持ち、クッション効果がある | 「破折歯接着治療後」の被せ物やインプラントの上部構造 |
| VITA SUPRINITY(ジルコニア強化ガラスセラミックス) | ガラスセラミックの内部にジルコニアの微細な粒子を分散 | ガラスセラミックの「美しさ」とジルコニアの「強度」を両立 | 審美性と強度が求められる部位 |
治療の「質」を決定する医師と技工士の連携

当院のデジタル審美治療が他と一線を画す最大の理由。
それはこれらの世界最高水準の「デジタル機器(ハード)」と「設計ソフト(ソフト)」を院内に完備していること。
そしてそれらを完璧に使いこなす「人間(医師と歯科技工士)」が存在することです。
当院の設備
当院には「CEREC」だけでなく、次のようなハイエンドなラボ(技工所)仕様の設計・加工システムが揃っています。
設計ソフト
- inLab
- 3Shape(TRIOS Design Studio)
- exocad
加工機(ミリングマシン)
- inLab MC X
- セラミルマテック
- セラミルモーション
- Z4
これは「即日修復」が適した症例(CEREC)と「時間をかけて究極の審美性を追求する」べき複雑な症例(exocad + セラミルなど)、その両方に院内で対応するためです。
院内完結だからこそ可能なリアルタイムでの品質追求
この「院内完結型」のデジタル工房があることで究極のオーダーメイド治療が可能になります。
それは歯科医師である私と専門の歯科技工士との、リアルタイムでの連携です。
リアルタイム連携のプロセス
製作途中のセラミックの歯を実際に患者様のお口に仮合わせし、その場で院長の私と歯科技工士が二人で患者様の笑顔を見ながらディスカッションを行う。
「もう少し歯の先端に透明感がほしい」「唇のラインとの調和を考えるとここの丸みを、あと0.2ミリだけ調整しよう」
デジタルデータだけでは決して伝わらないその人の顔貌や表情の動きといった「生きた情報」を、その場でフィードバックし即座に設計に反映させる。
この歯科医師の「医学的・機能的視点」と歯科技工士の「芸術的・形態的視点」が患者様という「現実」を前に、リアルタイムで融合し一切の妥協を許さない一つの作品を創り上げていくプロセス。
これこそが当院の「デジタル審美治療」が目指す究極の姿です。
私たちは単に「速い」「白い」治療を目指しているのではありません。
デジタル技術を人間の技術と感性の、最高の「増幅器」として活用し患者様お一人おひとりのための「機能美」を追求し続けています。
美しい笑顔への道のり
美しい歯は自信を生み、人生を豊かにします。
そして機能的に優れたメタルフリーの修復物はお口全体の健康を守り、未来の再治療のリスクを減らします。
審美と健康、その両方を高いレベルで実現する。
それがいばた歯科のデジタル審美治療です。
口元のことでお悩みでしたらどうぞお気軽にご相談ください。


