治療の連鎖を断ち切る当院の精密保存治療
「歯が痛い」「歯がしみる」虫歯治療は、多くの方が生涯で一度は経験する最も身近な歯科治療かもしれません。
「虫歯を削り、詰め物をして、終わり」
もし虫歯治療がその場しのぎの「穴埋め」で終わってしまっているとしたら、それは将来のより大きな問題の始まりに過ぎないのです。
一度治療した歯が数年後に再び痛み出す。詰め物の下で気づかないうちに虫歯が再発し、前よりももっと大きく歯を削らなければならなくなる。やがては神経を抜き、被せ物になり、最後には歯が割れて抜歯に至る。
私はこの、治療を繰り返すたびに患者様の大切な歯が確実に失われていく「負の連鎖」を、歯科医師として長年深く憂慮してきました。
当院の治療目標
当院の虫歯治療におけるたった一つの明確な目標。
それは「二度とその歯を治療しなくて済むようにすること」です。
そのために私たちは、「できるだけ削らない」「痛みを抑える」「再発を防ぐ」という3つの原則を掲げ、単なる経験や勘に頼るのではなく、科学的根拠に基づいた高水準の治療を日常の診療として実践しています。
このページでは、患者様の歯の寿命を未来永劫にわたって守るための当院の虫歯治療に対する考え方と、具体的な技術のすべてをご説明いたします。
1:「できるだけ削らない」
歯の寿命を守る最小限の介入(MI)
歯を削るという行為は、歯の寿命を直接的に縮める行為に他なりません。
一度削ってしまったエナメル質や象牙質は、二度と元には戻らないのです。
エナメル質を守ることの重要性
特に歯の表面を覆う「エナメル質」は、人体で最も硬い組織であり、その下にある柔らかい象牙質を細菌から守る重要な「鎧」の役割を担っています。
このエナメル質をどれだけ温存できるか。それが修復物の接着力を高め、将来の「再発」や「破折」を防ぐ最大の鍵となります。
「虫歯かもしれないから、念のため大きめに削っておこう」そのような旧来の治療とは、当院の考え方は異なります。
私たちは患者様の大切な歯質を1ミクロンでも多く残すため、二つの「精密な眼」を駆使します。
「見る」技術
マイクロスコープによる拡大視野

当院の虫歯治療は「マイクロスコープ(歯科用顕微鏡)」の拡大視野の下で行うことを標準としています。
(詳細は「マイクロスコープ治療」のページもご参照ください)
カールツァイス(Carl Zeiss)社製をはじめとする高性能なマイクロスコープは、肉眼の最大20倍以上にまで治療部位を明るく鮮明に拡大します。
この「見える」という事実が、治療の精度を根本から変えるのです。
肉眼や一般的なルーペ(拡大鏡)では決して見分けることのできない「虫歯に侵された軟らかい歯質」と「守るべき硬く健康な歯質」、その境界をミクロン単位で明確に識別しながら処置を進めます。
「染める」技術
う蝕検知液による虫歯の可視化

さらに術者の感覚だけに頼らない客観的な指標として、当院では「う蝕検知液(虫歯を染め出す薬)」を必ず併用します。
これは虫歯菌に感染し、もはや再生不可能になった歯質(感染象牙質)だけを特殊な色素で「染め出す」薬剤です。
治療のステップ
- マイクロスコープで明らかに虫歯とわかる部分を最小限除去します。
- う蝕検知液を塗布します。
- 染まった部分だけをマイクロスコープで注意深く丁寧に取り除きます。
- 再び検知液を塗布し、染まる部分が完全になくなるまでこの作業を繰り返します。
このプロセスを経ることで、「削りすぎ」と「感染の取り残し」という二つの最も避けるべきミスを科学的にかつ確実に防ぐことができます。
健康な歯質を可能な限り温存し、歯の強度を保ち、エナメル質を保護することで次のステップである「接着」の力を最大化する。
これこそが当院が実践する「MI(ミニマル・インターベンション)」治療の核心です。
2:「再発を防ぐ」
接着の成否を決める徹底した「防湿」
せっかく最小限の切削で虫歯を取り除いたとしても、その後に詰めるレジン(歯科用プラスチック)やセラミックの修復物が数年で外れたり、その隙間から再び虫歯が発生したりしては何の意味もありません。
接着の成功を決める大きな要素
治療した歯の長期的な安定性を左右する最大の鍵。それは「接着」のプロセスにかかっています。
そしてこの「接着」の成功を根本から決定づける要素。それが「湿気の完全なコントロール(防湿)」です。
接着治療の最大の「敵」
歯科用の接着剤は、水分や油分を極端に嫌います。
治療中に歯を削ったデリケートな接着面に、「唾液」や「歯ぐきからの滲出液(しんしゅつえき)」、あるいは「呼気(吐く息)に含まれる湿気」がほんのわずかでも触れてしまった瞬間。
接着力は劇的に低下します。その結果、歯と修復物の間に目に見えない「隙間」が生まれ、そこが細菌の侵入経路となり、数年後の「二次カリエス(再発)」を引き起こすのです。
当院の「防湿」への徹底したこだわり
「治療を繰り返さない」ために。
当院はこの「湿気の管理」こそが、虫歯治療において最も重要な工程の一つであると断言します。
そのために私たちは以下の機材を用い、治療部位をお口の中の湿気から完全に隔離する「防湿処置」を徹底して行います。
1. ラバーダム防湿

これは根管治療や精密な接着治療における世界的な標準(スタンダード)とされている最も確実な防湿法です。
治療する歯だけをゴム製のシート(ラバーダム)の小さな穴から露出させ、お口の中の他の部分と完全に隔離します。
ラバーダム防湿のメリット
- 唾液・湿気の完全なシャットアウト
唾液や呼気が接着面に触れることを物理的に100%遮断します。これにより接着剤がその性能を最大限に発揮できる理想的な「乾燥環境」を作り出します。 - 細菌感染の防止
唾液に含まれる数億個の細菌が、治療中の無防備な歯の内部に侵入するのを防ぎます。 - 安全性の確保
歯を削る器具や小さな詰め物などを誤ってお口の中に落としてしまう「誤飲」の危険性を防ぎます。
日本ではその装着に手間と技術を要するためか、ラバーダムの使用率は残念ながら極めて低いのが現状です。しかし私たちは、治療の長期的な成功を科学的に追求する上でこの処置は決して省略することのできない重要なプロセスであると確信しています。
2. ZOO(ズー)による防湿
ラバーダムの装着が困難な部位や状況に応じて、当院では「ZOO」と呼ばれる開口器と吸引装置が一体となった効率的な防湿デバイスも併用します。
これは患者様がお口を快適に開けた状態を保ちつつ、舌や頬を優しく排除し、治療部位の周りから唾液や湿気を効率的に吸引し続ける装置です。
これにより術者はクリアな視野で治療に集中することができ、ラバーダムと同等に近い防湿環境を実現します。
この「徹底した防湿」という地道で確実な一手間を惜しまないこと。
それこそが治療した歯を再発の脅威から守り、長期的な安定をもたらすのです。
3:歯を弱らせない
― 破折・脱離を防ぐ「構造設計」という考え方 ―
虫歯治療で本当に恐れるべきことは、「痛み」そのものではありません。
それは、治療を重ねることで歯が弱くなり、割れてしまうことです。
虫歯を削り、詰め物をし、再発してさらに削る。このサイクルを繰り返すほど、歯は内部から確実に脆くなっていきます。
最終的に起こるのが、歯根破折や歯冠破折です。一度割れてしまった歯は、保存が極めて難しく、抜歯に至るケースも少なくありません。
「虫歯を取る」だけでは歯は守れない
当院では、虫歯治療を「感染を除去する処置」+「歯の構造を守る設計」の両輪で考えます。
いくら精密に虫歯を取っても、その後の修復が
- 噛む力を分散できていない
- 歯の残存量に見合わない設計
- 硬すぎる材料を無理に使用している
このような状態では、歯は長く持ちません。
当院が重視する「力のコントロール」
噛む力は、想像以上に大きな負荷として歯にかかります。特に奥歯では、体重以上の力が一点に集中することもあります。
当院では、
- 残っている歯質の量
- 咬合(噛み合わせ)の方向と強さ
- 歯の部位(前歯・小臼歯・大臼歯)
これらを総合的に評価し、歯が割れにくい形・厚み・材料を選択します。
材料選択も「歯を守るため」
当院がメタルフリー治療を基本とする理由の一つが、ここにあります。金属は非常に硬いため、
- 噛む力を逃がせず歯に集中させてしまう
- 健康な歯質を欠けさせたり、割ったりする
といったリスクを抱えています。
一方、セラミックやハイブリッドセラミックは、歯に近い弾性を持ち、力を分散させる設計が可能です。「詰める材料」ではなく、「歯を守る構造体」それが当院の修復治療の考え方です。
治療のゴールは「割れないこと」
当院の虫歯治療の最終目標は、「もう削らなくていい歯」をつくること。
そして同時に、「もう割れない歯」をつくることです。
それが結果として、再治療・根管治療・抜歯を遠ざけ、歯の寿命を大きく延ばします。
治療のその先へ
当院の治療哲学との連携
虫歯を除去し、接着処置を終えた後。その歯をどのように「修復」するかで、その後の歯の運命は再び大きく分かれます。
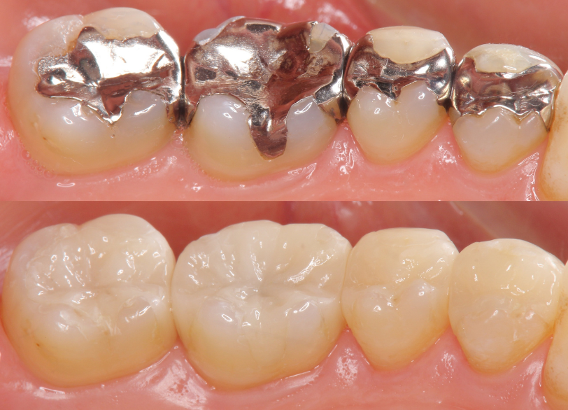
金属を使わない「メタルフリー」

当院では歯を修復する際に、保険診療の「銀歯」を一切使用しません。
(詳細は「メタルフリー治療」のページをご参照ください)
それは銀歯が「汚れ(細菌)が付着しやすく、二次的な虫歯や歯周病の温床となる」「硬すぎるがゆえに健康な歯を欠けさせたり割ったりする(破折)原因となる」「溶け出した金属がアレルギーの原因となる」といった多くの医学的なリスクを抱えているためです。
修復方法の選択肢
1. レジン修復(ダイレクトボンディング)

比較的小さな虫歯であれば、マイクロスコープとラバーダム防湿の下で高品質な歯科用プラスチック(コンポジットレジン)を歯に直接盛り付け、形を整え修復します。
この方法は歯を削る量を最小限に抑えられる最も優れたMI治療の一つです。
2. デジタルセラミック修復(インレー・クラウン)

虫歯がC2の段階へと進み広範囲に及んでいる場合は、レジン修復では強度的な限界があります。
その場合は、当院が2006年から追求してきた「デジタル歯科治療」の出番です。
デジタル治療の流れ
- 口腔内スキャナーで精密な3Dの歯型を快適に取得します。
- CEREC(セレック)やexocadといった高度な設計ソフトウェア(CAD)でミクロン単位の精密なセラミック修復物を設計します。
- 院内の高性能ミリングマシン(CAM)がその設計図通りに、e.max(ガラスセラミック)、ジルコニア、ENAMIC(ハイブリッドセラミック)といった高品質なセラミックブロックを削り出します。
このデジタルワークフローとマイクロスコープ下での精密な「土台作り」が融合することで、「隙間ゼロ」の完璧な適合精度が生まれ、「再発リスク」を根本から断ち切るのです。
3. 歯の命を救う「精密根管治療」

もし虫歯が歯の内部の「神経(歯髄)」にまで達してしまっていたら。その時は「精密根管治療」へと移行します。
(詳細は「根管治療」のページをご参照ください)
ここでもCTによる三次元診断、マイクロスコープによる確実な視認、そしてラバーダムによる無菌的環境という当院の治療原則は一切揺らぎません。
歯の「土台工事」であるこの根管治療の質こそが、その歯がこの先何十年機能し続けられるかを決定づけるのです。
「治療」から「予防」へ
虫歯治療は患者様の歯の未来と向き合う大切な機会です。
安易なその場しのぎの治療を繰り返すことは、歯の寿命を確実に縮めます。
当院は一本の歯を一つの「臓器」として捉え、その保存を第一に考えます。
私たちが持つすべての技術と知識は「治療の連鎖を断ち切ること」「ご自身の歯を生涯にわたって守り抜くこと」、その一点のためにあります。
お口のことでお悩みでしたら、どうぞお一人で悩まず、ご相談ください。