歯を失う原因に科学と技術で立ち向かう

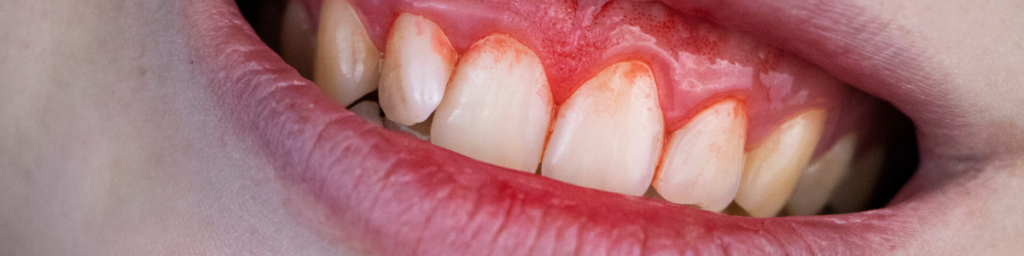
「歯磨きの時に少し血が出るだけ」「歯ぐきが時々腫れぼったい気がする」
歯周病はそのような、ごくわずかな自覚症状、あるいはまったく症状がないまま、静かにそして確実に進行していく病気です。
そのため、「サイレント・ディジーズ(静かなる病気)」とも呼ばれています。
そして、日本の成人が歯を失う原因の第一位。それがこの歯周病であるという重い事実があります。
痛みなどのはっきりとしたサインが出にくいがゆえに、多くの方がその深刻さに気づかないまま、歯を支える大切な顎の骨(歯槽骨)が静かに溶かされていく。
そして、「歯がグラグラする」「歯が長くなったように見える」といった明らかな異常に気づいた時には、すでに病状は深刻な段階にまで進行し、「もう抜歯しかありません」と告げられてしまう。
私は歯科医師として、このような悲劇的な結末を一つでもなくしたい。その強い想いから、歯周病治療に対して当院ならではの徹底したアプローチを実践しています。
当院の歯周病治療は単に、病気の進行を食い止めるだけの「守り」の治療ではありません。CTやマイクロスコープ、レーザーといった先進技術を融合させ、失われてしまった歯を支える「土台」そのものを外科的に積極的に「再建」する。
そして、その健康な状態を生涯にわたって維持管理していく。それこそが当院が目指す、未来を見据えた歯周病治療の姿です。
「もう抜歯しかないと言われた」「歯周病が重くてインプラントは無理だと断られた」
そのような方こそ、どうか諦める前に当院にご相談ください。
目に見えない部分だからこそ精密に。そして、再生できる歯周治療へ。私たちが歯を失わない未来のために、できることをすべてを行います。
当院の歯周病治療

科学的根拠に基づく「精密診断力」
歯周病治療の成否は、術者の「診断力」でその9割が決まると言っても過言ではありません。
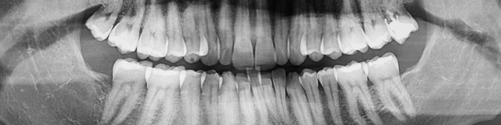
なぜなら、歯周病とは目に見えない「歯ぐきの奥」で、そして「骨の中」で進行する病気だからです。従来の歯周ポケットの深さを測る検査(ポケット測定)と二次元のレントゲン写真だけでは、病態の「真実」を正確に把握することは不可能でした。
当院ではこの「見えない敵」の正体を、科学的にかつ立体的に暴き出すため、当院が誇るデジタル診断機器を駆使します。
歯科用CT(3DX)による「骨の立体評価」
歯周病の深刻度は、歯を支える「骨(歯槽骨)」がどれだけ、どのように失われているかで決まります。
当院の歯科用CTは、従来の平面的なレントゲンでは決して分からなかった骨の吸収状態を、三次元の立体画像として「可視化」します。
骨の吸収形態の特定
骨が水平的に平らに溶けているのか。あるいは、特定の歯の周りだけが垂直的に深くえぐれるように溶けているのか(垂直性骨欠損)。
この「溶け方」の診断こそが、後述する「再生療法」が可能かどうかを判断する上で、もっとも重要な情報となります。
病巣の広がりと根の状態の把握
CTは、歯の根の周囲に膿の袋(根尖病変)が合併していないか、あるいは歯の根に微細な亀裂(破折)が入っていないかといった、歯周病を悪化させる他の要因をも正確に診断します。
マイクロスコープによる「軟組織の視覚的評価」
CTが「骨」という硬い組織を見る眼であるならば、マイクロスコープ(歯科用顕微鏡)は「歯ぐき」や「歯の表面」といった軟らかい組織を見る、もう一つの精密な眼です。
(詳細は「マイクロスコープ治療」のページもご参照ください)
肉眼の20倍以上に拡大された視野は、以下を明確に捉えます。
- 歯ぐきのわずかな炎症の兆候
- 歯周ポケットの浅い部分に潜む微細な歯石(縁上歯石)
- 歯の表面にこびりついた細菌の膜(バイオフィルム)の状態
この「視覚的な評価」と「ポケット測定」「CTの立体評価」をすべて統合し、初めて患者様一人ひとりの病態の根本原因を突き止めることができるのです。
「見える説明」の徹底
私たちは診断した内容を、私たち医療者だけのもとには留めません。
撮影したCTの三次元画像や、マイクロスコープで撮影したお口の中の写真、口腔内スキャナーのデータなどをすべて診療室のモニターに映し出します。
そして、「あなたの骨は今このように、これだけ失われています」「だからこの部分には外科的な処置が必要です」と、患者様ご自身の目でその「事実」を見てご理解いただくこと。
この「見える説明」と「納得」こそが、これから始まる長い治療の道のりを私たちと患者様が二人三脚で歩んでいくための、信頼関係の礎となると信じています。
土台となる「歯周基本治療」と治療を支える「歯科衛生士」

歯周病治療は、私たち歯科医師が一方的に行うものでは決して成功しません。
その成否の実に8割は、「患者様ご自身による日々のセルフケア」とその土台を整える「歯周基本治療」にかかっています。
この極めて重要なフェーズを担うのが、当院の国家資格を持つ経験豊富な「歯科衛生士」たちです。
専門家による「精密クリーニング(SRP)」
歯周基本治療の核心は、「SRP(スケーリング・ルートプレーニング)」と呼ばれる専門的なクリーニングです。
これは、歯周ポケットの奥深く歯の根の表面にセメントのように硬くこびりついた「縁下歯石」を、専用の器具(スケーラー)で徹底的に除去する処置です。
この「縁下歯石」こそが歯周病菌の最大の「巣」であり、これを取り残しなく除去しなければ歯ぐきの炎症は決して治まりません。
当院の歯科衛生士はこのSRPにおいても、マイクロスコープや高倍率ルーペ(拡大鏡)を用い、肉眼では見えない深部の歯石を確実に取り除きます。
Er:YAGレーザーによる低侵襲な除菌
さらに、当院では基本治療の段階からモリタ社製の「Er:YAGレーザー」を積極的に併用します。
(詳細は「設備紹介 – 3種の先進レーザー」をご参照ください)
このレーザーは熱の発生が極めて少なく、痛みを感じにくいのが大きな特徴です。
水をスプレーしながら歯周ポケット内部に照射することで、歯根の表面を一切傷つけることなく、以下を選択的に破壊・除去(蒸散)することができます。
- 歯石
- 細菌の巣である「バイオフィルム」
- 炎症を引き起こす「病原菌」
レーザーによる高い殺菌効果と組織の治癒を促進する効果が、基本治療の質をさらに高めます。
患者様一人ひとりのオーダーメイド指導
歯科医院でどれほど完璧なクリーニングを行ったとしても、ご自宅でのセルフケアが不十分であれば、バイオフィルムは48時間後には再び形成され始めます。
当院の歯科衛生士は単に「歯磨きの方法」を画一的に指導するのではありません。
患者様一人ひとりのお口の状態、歯並び、生活習慣、そして性格までもを深く理解し、具体的で継続可能なセルフケアプランを立案します。
たとえば、「あなたのこの部分には、このサイズの歯間ブラシが適しています」「この歯ブラシをこの角度で当てる練習を一緒にしてみましょう」といった指導を行います。
必要に応じて細菌検査や唾液検査といった科学的なリスク分析も行い、患者様の「やる気」を専門家として根気強く支え続けます。
基本治療の限界を超える「精密歯周外科治療」

歯周基本治療を徹底的に行ってもなお、5mm以上の深い歯周ポケットが残ってしまった場合。
それは、歯根の複雑な形態の部分(根分岐部など)や歯周ポケットの最深部に、SRPやレーザーだけでは取り除くことのできない頑固な感染源がまだ残存していることを意味します。
この深部に潜む「敵」を外科的にかつ確実に除去するために選択されるのが、「歯周外科治療(FOP:フラップ手術)」です。
フラップ手術(FOP)とは
局所麻酔下で歯ぐきを慎重にメスで切開し剥離します。
これにより、これまで器具の「感覚」だけを頼りに処置していた歯根の表面とその周りの溶けてしまった骨の状態を、「直視」することが可能になります。
術者は目で直接確認しながら、以下を徹底的に掻き出して清掃します。
- 歯根面にこびりついた歯石
- 炎症によって生じた不良な組織(不良肉芽)
清掃が完了したら歯ぐきを元の位置に戻し、細い糸で縫合します。
いばた歯科の「精密・低侵襲」外科
この歯周外科手術は、術者の技術によって術後の結果が大きく左右される処置です。
当院では私の30年以上にわたる歯周外科の臨床経験と、以下の二つの先進技術を融合させることで、より精密で身体への負担が少ない「低侵襲外科治療」を実践しています。
マイクロスコープ下での「精密歯周外科」
当院の歯周外科はすべて、マイクロスコープの拡大視野の下で行われます。肉眼の20倍の視野は、手術の「質」を根本から変えます。
感染源の徹底的な除去
拡大視野の下では、歯根のわずかな凹凸に潜む微細な歯石の「取り残し」を許しません。
健康な組織の温存
感染して破壊された組織と温存すべき健康な組織との境界が明確に見分けられます。これにより、歯ぐきの切開や骨の削除を本当に必要な範囲に限定することができます。
低侵襲な縫合
髪の毛よりも細い専用の縫合糸を用いることで、組織へのダメージを抑えます。これらの積み重ねが、術後の痛みや腫れを大幅に軽減し、傷跡の治癒が良好で早いという患者様にとっての大きな価値に繋がります。
Er:YAGレーザーの「併用」
フラップ手術で歯根面を露出させた状態で、さらに「Er:YAGレーザー」を併用します。歯根面を一切傷つけることなく非接触で汚染物質を安全に除去・殺菌できるこのレーザーの特性は、歯周外科との相性が抜群です。
手術の精度をさらに高めると同時に、レーザーが持つ「治癒促進効果」と「出血抑制効果」が患者様の術後のご負担をさらに軽減させます。
「失われた土台」を諦めない

当院が実践する「歯周組織再生療法」
歯周外科手術(FOP)が、これ以上病状が進行するのを食い止めるための「守り」の治療であるとするならば。
現代の歯周病治療はさらにその先、失われてしまった歯を支える「土台」そのものを積極的に「再生させる」という「攻め」の治療領域にまで到達しています。
これが「歯周組織再生療法」です。
CT診断の結果、骨の吸収形態が再生に適している(例えば垂直性骨欠損)と判断された場合、当院では以下の先進的な再生療法を積極的に選択肢としてご提案します。
エムドゲイン(Emdogain)による「生物学的再生」
「エムドゲイン・ゲル」は、幼若な豚の歯胚(歯の芽)から抽出・精製された特殊なタンパク質(エナメルマトリックスタンパク)を主成分とする生物学的な製剤です。
このタンパク質は、私たちが子どもの頃永久歯が生えてくる時に、歯周組織(骨、歯根膜、セメント質)が作られる過程で重要な役割を果たしていたものと同じ種類のものです。
歯周外科手術(FOP)の際に清掃した歯根の表面に、この「エムドゲイン・ゲル」を塗布します。
これにより、歯の周りに歯が初めて生えてきた時とよく似た環境を人工的に再現し、失われた歯周組織の根本的な「再生」を生物学的に誘導するのです。
この治療法によって、かつては抜歯しか選択肢がなかった多くの歯を救うことが可能になりました。
CTG(結合組織移植術)による「歯ぐき」の再生と審美回復
歯周病やあるいは強すぎるブラッシングなどによって、歯ぐきが下がり歯の根が露出してしまうことがあります(歯肉退縮)。
これは「歯が長くなったように見える」といった審美的な問題だけでなく、以下のような機能的な問題も引き起こします。
- 冷たいものがしみる「知覚過敏」
- 歯ブラシが当たると痛むため、清掃が不十分になる
- 露出した歯根が虫歯になりやすい(根面う蝕)
この失われた歯ぐきを外科的に回復させるのが「結合組織移植術(CTG)」です。
これは主にご自身の上あごの口蓋から、「結合組織」と呼ばれる内側の丈夫な歯肉の一部をごく少量だけ採取し、歯ぐきが下がってしまった部分に移植する手術です。
この手術の成否は、いかに繊細な処置ができるかにかかっています。当院ではこのCTGもすべて、マイクロスコープの拡大視野の下で行います。
極めて細い専用の器具と縫合糸を用いて精密に移植組織を固定することで、生着率を高め術後の傷跡や腫れも抑えます。
これにより、歯ぐきの審美性が劇的に改善するだけでなく、露出していた歯根が丈夫な歯肉で覆われることで、ブラッシング時の痛みが軽減し歯の長期的な安定(予後)にも大きく貢献します。
治療後の未来を守る「SPT(メンテナンス)」

歯周外科手術や再生療法によって深い歯周ポケットが改善し、お口の中が健康な状態を取り戻した。
しかし、残念ながらそれで歯周病治療がすべて完了したわけではありません。歯周病は高血圧や糖尿病といった他の生活習慣病と同じように、「完治」という概念が存在しない病気です。
治療によって病状をコントロールし安定した状態(寛解)に導くことはできますが、治療後のケアを怠ればいつでも再発しうる、生涯にわたる管理が必要な慢性的な病気なのです。
治療によって得られたかけがえのない健康な状態を、この先何十年と維持していくために。治療が完了した後からが本当のスタートです。
そのために不可欠なのが、「SPT(サポーティブ・ペリオドンタル・セラピー)」と呼ばれる専門的な定期メンテナンスプログラムです。
当院の「SPT」が他と異なる理由
一般的な歯科医院での定期検診やクリーニングを想像してみてください。多くは30分程度の短い時間の中で、流れ作業のように歯石を取り表面を磨いて終わりではないでしょうか。
当院の「SPT」はそのような画一的なものではありません。私たちはこの「SPT」の重要性を誰よりも深く認識しています。
特に歯周外科治療や再生療法といった高度な処置を経た患者様のお口の中は、一度病態を経験した複雑でデリケートな状態です。
そのわずかな「再発の兆候」を見逃さないためには、それ相応の「時間」と「技術」が必要です。
だからこそ当院では、「歯周外科治療後の患者様には、お一人に対して保険診療の枠組みであっても一時間を確保する」ことを医院のルールとして徹底しています。
「一時間」という時間で行うこと
この時間の中で、当院の専門知識と技術を習得した国家資格を持つ歯科衛生士が、以下のような極めて密度の濃い管理を行います。
- マイクロスコープやルーペを用いた精密な歯周ポケットの再検査
- ご自身のセルフケアでは決して除去できないバイオフィルムの徹底的な除去(PMTC)
- レントゲンやCTによる骨の状態の定期的な比較・確認
- 生活習慣の変化などを踏まえたブラッシング指導(TBI)の再調整
この「治療後の管理」にこそ、時間と労力を惜しまない姿勢。
それこそが当院が30年以上にわたり、高難度の歯周外科症例を数多く手がけその長期的な安定を見守り続けてきた、専門家としての責任であり覚悟なのです。
「歯を失わせない未来のために」という私たちの理念は、治療が終わった後もずっと続いていきます。
歯を諦めないでください
「歯周病がかなり進行していますね。残念ですが、この歯はもう抜くしかありません」
「骨がほとんどないので、インプラントは無理です」
もしあなたが他の歯科医院でそう告げられ、治療を諦めかけているのだとしたら。
どうかその前に一度、私たちにご相談ください。
現代の歯周病治療は以下の進歩によってかつては不可能とされていた領域にまで確かに到達しています。
- CTによる三次元的な精密診断
- マイクロスコープやレーザーを用いた身体への負担が少ない低侵襲な外科処置
- そしてエムドゲインに代表される失われた骨を再生させる生物学的な技術
歯を支える目に見えない歯ぐきの奥深くで起きている問題だからこそ、私たちは精密な技術でそして誠実な心で真正面から向き合います。
あなたの大切な歯とその先の未来の全身の健康を共に守り抜くために。
私たちが持つ知識と技術のすべてを尽くすことをここにお約束いたします。